Prohlédněte si 7 fascinujících fotek lidského těla.
Věděli jste, co je to pomerančová kůže? Nebo jak vypadá prsní implantát na CT? Teď už to víte.
Peau d'orange, pomerančová kůže
typický příznak zánětlivé formy rakoviny prsu
Stav, kdy kůže prsu zduří, zhrubne a má jemné dolíčky jako slupka pomeranče. Důvodem je ucpání drobných lymfatických cév v kůži nádorem – lymfa neodtéká, vzniká otok a povrch se místy vtahuje. Typicky se objevuje při zánětlivém karcinomu prsu, ale podobně může vypadat i lymfedém po operaci nebo výrazný zánět.
Nový jednostranný pomerančový vzhled se zarudnutím či bolestí je indikací k rychlému vyšetření v mamologické ambulanci.
Phyllodes tumor, listovity nádor
Vzácný fibroepiteliální nádor prsu, který může během krátké doby vyrůst do opravdu velkých rozměrů. Na řezu mívá typický listovitý vzhled - střídají se tužší vazivové s měkčími žlázovými částmi, takže tkáň vypadá jako vrstvené listy.

Základem léčby je chirurgické odstranění i s tenkým lemem zdravé tkáně, protože se nádor rád vrací. Uzliny obvykle nepostihuje, vzácně se však může šířit krví a to zejména do plic.

Prsní implantáty na CT
Na CT působí prsní implantáty jako ostře ohraničené oválné útvary s nízkou denzitou a tenkým, jasnějším lemem. Střed je tmavší (obsah – silikon či fyziologický roztok). Typicky leží za prsní žlázou a před hrudní stěnou, alternativně mohou být částečně kryty svalem.
Běžné je lehké vrásnění stěny a záhyby. Na komplikace myslíme při více nepravidelném obrysu, úniku obsahu mimo pouzdro a při zvětšených axilárních uzlinách.

Model prsní žlázy
Znázorňuje vnitřní strukturu prsu s jednotlivými laloky (lobuly), které jsou tvořeny žlázovou tkání produkující mléko - z laloků pak vybíhají mlékovody, které se spojují a ústí do bradavky.

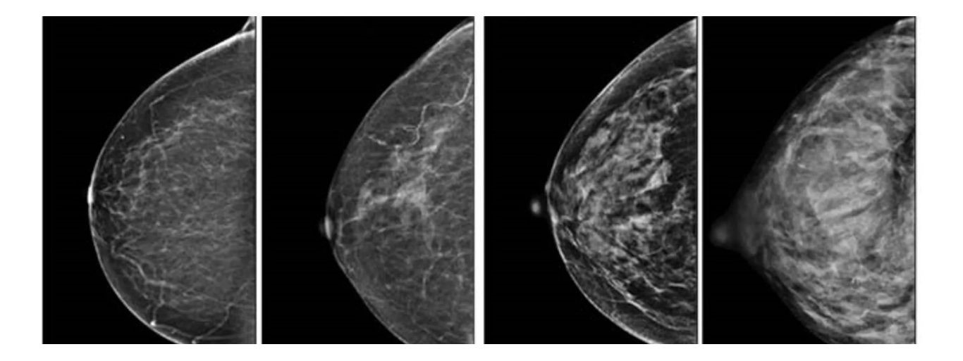
Snímky z mamografu
Mamografie je radiologická metoda vyšetřování prsu (rentgenové vyšetření). Využívá rentgenové paprsky k vytvoření obrazů vnitřních struktur těla. Na snímcích se hodnotí řada detailů, které mohou napovědět, zda se jedná o normální nález, nebo o něco, co vyžaduje další vyšetření:
Mikrokalcifikace – drobné bílé tečky, které mohou být projevem neškodných změn, ale také jedním z prvních znaků karcinomu.
Ložiskové útvary – na snímku se zobrazují jako stíny či zhuštěná oblast tkáně. Důležitý je jejich tvar a okraje – pravidelný, hladký útvar většinou značí benigní proces, nepravidelné a hvězdicovité okraje spíše budí podezření.
Asymetrie – porovnává se pravý a levý prs, případně aktuální snímek s těmi staršími. Nově vzniklá odchylka je vždy důvodem k bližšímu zkoumání.

více o mamografii se dočtete zde (Prevence rakoviny prsu: růžový říjen 2025) či zde (Růžový říjen #pinkoctober)
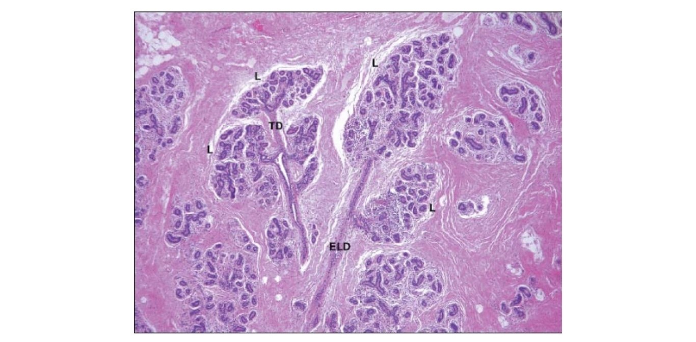
Prsní žláza na histologickém řezu
Na snímku jsou patrné žlázové lalůčky (L), které produkují mléko, tyto lalůčky se napojují na terminální vývody (TD), dále pokračující do vývodů (ELD), které ústí do větších mlékovodů - směrem k bradavce.

zdroje fotografií: medbullets.com, gpnotebook.com, casereports.bmj.com, surgicalcasereports.springeropen.com, webpathology.com, esio.info, frontiersin.org, wikipedia.org, sketchfab.com, gatraweb.org
